toe phalanx fracture orthobullets

Narcotic analgesics may be necessary in patients with first-toe fractures, multiple fractures, or fractures requiring reduction. Distal phalangeal fractures may be complicated by nail bed injuries. Fracture position ideally will be maintained when traction is released, but in some cases the reduction can be held only with buddy taping. A fractured toe may become swollen, tender, and discolored. WebPhalangeal fractures are the most common fracture of the forefoot. Although referral rarely is required for patients with fractures of the lesser toes, referral is recommended for patients with open fractures, fracture-dislocations (Figure 5), displaced intra-articular fractures, and fractures that are difficult to reduce. Even if the fragments remain nondisplaced, significant degenerative joint disease may develop.4. WebPhalangeal fractures are the most common fracture of the forefoot. Diagnosis is made with plain radiographs of the foot. The middle finger is

The pull of these muscles occasionally exacerbates fracture displacement. Application of a gentle axial loading force distal to the injury (i.e., compressing the distal phalanx toward the foot) may distinguish contusions from fractures.

WebPhalanx Dislocations are common traumatic injury of the hand involving the proximal interphalangeal joint (PIP) or distal interphalangeal joint (DIP). Most patients have point tenderness at the fracture site or pain with gentle axial loading of the digit. If the bone is out of place, your toe will appear deformed.

WebTurf Toe is a hyperextension injury to the plantar plate and sesamoid complex of the big toe metatarsophalangeal joint that most commonly occurs in contact athletic sports.

At the conclusion of treatment, radiographs should be repeated to document healing. Anatomy.

Toe fractures are one of the most common fractures diagnosed by primary care physicians. Patients with displaced fractures of the first toe often require referral for stabilization of the reduction. WebMetatarsal fractures are among the most common injuries of the foot that may occur due to trauma or repetitive microstress. Conditions apply.

Open subtypes (3) Lesser toe fractures. An attempt at reduction and immobilization is made in the field by his unit physician assistant, and he returns to your office one week later. Anatomy. Because it is the longest of the toe bones, it is the most likely to fracture.

The second through fifth toes have a proximal, middle and distal phalanx. This material may not otherwise be downloaded, copied, printed, stored, transmitted or reproduced in any medium, whether now known or later invented, except as authorized in writing by the AAFP. The great toe has only a proximal and distal phalanx. Diagnosis can be confirmed with orthogonal radiographs of the involve digit. Most broken toes can be treated without surgery. Referral is indicated in patients with circulatory compromise, open fractures, significant soft tissue injury, fracture-dislocations, displaced intra-articular fractures, or fractures of the first toe that are unstable or involve more than 25 percent of the joint surface.

Phalanx fractures displace according to the level at which the fracture occurs due to the eloquent soft tissue and tendon involvement of the phalanx. The first phalanx (great toe) is most frequently involved. A person viewing it online may make one printout of the material and may use that printout only for his or her personal, non-commercial reference. While many Phalangeal fractures can be treated non-operatively, some do require surgery.

The first and fifth toes are most commonly involved as these are the border digits. Copyright 2023 Lineage Medical, Inc. All rights reserved. Referral also is recommended for children with first-toe fractures involving the physis.4 These injuries may require internal fixation. Diagnosis is made with plain radiographs of the foot. Joint hyperextension and stress fractures are less common.

Referral also should be considered for patients with other displaced first-toe fractures, unless the physician is comfortable with their management.

Epidemiology. Your next step in management should consist of: Percutaneous biopsy and referral to an orthopaedic oncologist, Walker boot application and evaluation for metabolic bone disease, Referral to an orthopaedic oncologist for limb salvage procedure, Internal fixation of the fracture and evaluation for metabolic bone disease, Metatarsal-cuneiform fusion of the Lisfranc joint. Most displaced fractures of the lesser toes can be managed by family physicians if there are no indications for referral. washington county, wi accident reports; san francisco chronicle cioppino recipe; ninewells hospital ward phone numbers The middle finger is Radiographic studies of a toe should include anteroposterior, lateral, and oblique views (Figure 1). Stable, reduced phalanx fractures are immobilized but require close monitoring to ensure maintenance of fracture reduction. Dr. Boyer), Ring Finger Proximal Phalanx Fracture in 16M, Fracture of the base of proximal phalanx of 5th finger. Phalanx fractures displace according to the level at which the fracture occurs due to the eloquent soft tissue and tendon involvement of the phalanx.

Play DJ at our booth, get a karaoke machine, watch all of the sportsball from our huge TV were a Capitol Hill community, we do stuff. A walking cast with a toe platform may be necessary in active children and in patients with potentially unstable fractures of the first toe.

WebPhalanx Fractures are common hand injuries that involve the proximal, middle or distal phalanx.

Epidemiology. The nail should be inspected for subungual hematomas and other nail injuries.

MTP joint dislocations. Nondisplaced phalanx fractures are managed with splint immobilization.

WebThe proximal phalanx is the toe bone that is closest to the metatarsals. Pain that persists longer than a few months may indicate malunion, which may limit a patient's future activities significantly.

These tendons may avulse small fragments of bone from the phalanges; they also can be injured when a toe is fractured. ROBERT L. HATCH, M.D., M.P.H., AND SCOTT HACKING, M.D. The skin should be inspected for open wounds or significant injury that may lead to skin necrosis. This topic will review the evaluation and management of toe fractures in adults. These fractures are commonly caused by trauma or crush injuries.

WebThe proximal phalanx is the toe bone that is closest to the metatarsals.

AO Trauma's interactive learning hub for residents.

WebFoot Fractures - Phalanx Key Points: One of the most common foot fractures in children Often not treated by orthopedic surgeons Open fractures require irrigation & debridement Nail-bed injuries involving the germinal matrix should be repaired Displaced intra-articular fractures of the hallux require reduction Description: In an analysis of 339 toe fractures, 95% involved less than 2 mm of displacement and all fractures were managed conservatively with good outcomes. AO START. WebThe proximal phalanx is the toe bone that is closest to the metatarsals. The middle finger is

Treatment.

Treatment is generally straightforward, with excellent outcomes. Most broken toes can be treated without surgery.

Stress fractures have a more insidious onset and may not be visible on radiographs for the first two to four weeks after the injury. Copyright 2003 by the American Academy of Family Physicians.

From an anatomic perspective, the foot is divided into three regions (figure 1A-C): Forefoot Metatarsal and phalangeal bones The same mechanisms that produce toe fractures may cause a ligament sprain, contusion, dislocation, tendon injury, or other soft tissue injury. WebWe help you diagnose your Toe fractures case and provide detailed descriptions of how to manage this and hundreds of other pathologies.

(SBQ17SE.89)

Youll love it here, we promise. Open reduction and placement of two 0.045-inch K-wires placed longitudinally through the metacarpal head, Application of a 1.5-mm straight plate applied dorsally through and extensor tendon splitting approach, Open reduction and lag screw fixation with 1.3mm screws through a radial approach, Placement of a 1.5-mm condylar blade plate through a radial approach, Open reduction and retrograde passage of two 0.045-inch K-wires retrograde trough the PIP joint. WebTurf Toe is a hyperextension injury to the plantar plate and sesamoid complex of the big toe metatarsophalangeal joint that most commonly occurs in contact athletic sports. Most broken toes can be treated without surgery. He undergoes closed reduction and pinning shown in Figure B to correct alignment.

CLINICAL ANATOMY.

Diagnosis is made with plain radiographs of the foot. Most children with fractures of the physis should be referred, but children with selected nondisplaced Salter-Harris types I and II fractures may be treated by family physicians.

Which of the following is true regarding open reduction and screw fixation of this injury? A common complication of toe fractures is persistent pain and a decreased tolerance for activity. Content is updated monthly with systematic literature reviews and conferences.

WebPhalangeal fractures are the most common foot fracture in children. If this maneuver produces sharp pain in a more proximal phalanx, it suggests a fracture in that phalanx. They classify into tuft (tip), shaft, or articular injuries.

Because it is the longest of the toe bones, it is the most likely to fracture.

If an acute subungual hematoma is present (less than 24 hours old), decompression may relieve pain substantially. A 55 year-old woman comes to you with 2 months of right foot pain. She is active in ballet and her pain is exacerbated with push-off and en pointe maneuvers. Fractures of the proximal phalanx can be complex owing to forces exerted on the fracture fragments by multiple muscles and tendons which often result in angular or rotational deformity. WebMetatarsal fractures are among the most common injuries of the foot that may occur due to trauma or repetitive microstress. (OBQ11.63)

What is the most likely diagnosis? Abductor, interosseus, and adductor muscles insert at the proximal aspects of each proximal phalanx.

A fractured toe may become swollen, tender, and discolored. Treatment. Started in 1995, this collection now contains 6407 interlinked topic pages divided into a tree of 31 specialty books and 722 chapters. AO START. He states he has a 30-year-old lumberjack who earlier today was playing softball in the county championship when he slid into home plate in the bottom of the 9th inning. (OBQ12.89) Diagnosis is made with plain radiographs of the foot.

Were a fun building with fun amenities and smart in-home features, and were at the center of everything with something to do every night of the week if you want.

This webinar will address key principles in the assessment and management of phalangeal fractures.

A radiograph taken at the time of injury is shown in Figure A, and a current radiograph is shown in Figure B. Physical examination should include assessment of capillary refill; delayed capillary refill may indicate circulatory compromise.

Open subtypes (3) Lesser toe fractures. WebPhalanx Dislocations are common traumatic injury of the hand involving the proximal interphalangeal joint (PIP) or distal interphalangeal joint (DIP).

She has no history of ankle or foot trauma, and medical history is significant only for delayed menarche.

Fractures of the toe are one of the most common lower extremity fractures diagnosed by family physicians. The second through fifth toes have a proximal, middle and distal phalanx. Web5th Metatarsal Base Fractures are among the most common fractures of the foot and are predisposed to poor healing due to the limited blood supply to the specific areas of the 5th metatarsal base. CLINICAL ANATOMY. WebPhalangeal fractures are the most common fracture of the forefoot.

Distal Phalanx Distal phalanx fractures are usually nondisplaced or comminuted fractures. Are you sure you want to trigger topic in your Anconeus AI algorithm? (OBQ05.209)

Toe fractures of this type are rare unless there is an open injury or a high-force crushing or shearing injury.

MTP joint dislocations. Diagnosis is made with plain radiographs of the foot. The second through fifth toes have a proximal, middle and distal phalanx. The first and fifth toes are most commonly involved as these are the border digits. Nondisplaced phalanx fractures are managed with splint immobilization. most common injuries to the skeletal system, distal phalanx > middle phalanx > proximal phalanx, 40-69 years old - machinery is most common, displacement of proximal phalanx fracture, proximal fragment flexed due to interossei, distal fragment extends due to central slip, dynamic stability from compressive forces during pinch and grip, passive stabiltiy from collateral ligament, terminal slip of EDC inserts on dorsal aspect of middle phalanx, dominant artery found on median side of phalanges (closer to midline), type III - unstable bicondylar or comminuted, due to inherent stability provided by an intact and prolonged FDS insertion, proximal fragment in extension (due to central slip), results from hyperextension injury or axial loading, unstable if > 40% articular surface involved, represents avulsion of collateral ligaments, usually stable due to nail plate dorsally and pulp volarly, often associated with laceration of nail matrix or pulp, shearing due to axial load, leading to fracture involving > 20% of articular surface, avulsion due tensile force of terminal tendon or FDP, leading to small avulsion fracture, terminal tendon attaches to proximal epiphyseal fragment, deformity (angular, rotation, shortening), proximal fragment pulled into flexion by interossei, distal fragment pulled into extension by central slip, apex volar angulation if distal to FDS insertion, apex dorsal angulation if proximal to FDS insertion, diagnosis confirmed by history, physical, and orthogonal radiographs, extraarticular fractures with < 10 angulation or < 2mm shortening and no rotational deformity, 3 weeks of immobilization followed by aggressive motion, extraarticular fractures with > 10 angulation or > 2mm shortening or rotational deformity, Unstable patterns include spiral, oblique, fracture with severe comminution, Eaton-Belsky pinning through metacarpal head, minifragment fixation with plate and/or lag screws, lag screws alone indicated in presence of long oblique fracture, nail matrix may be incarcerated in fracture and block reduction, distal phalanx fractures with nailbed injury, dorsal base fractures with > 25% articular involvement, displaced volar base fractures with large fragment and involvement of FDP, Apex volar angulation effectively shortens extensor tendon and limits extension of PIPJ, indicated when associated with functional impairment, corrective osteotomy at malunion site (preferred), metacarpal osteotomy (limited degree of correction), most atrophic and associated with bone loss or neurovascular compromise, Lunate Dislocation (Perilunate dissociation), Gymnast's Wrist (Distal Radial Physeal Stress Syndrome), Scaphoid Nonunion Advanced Collapse (SNAC), Carpal Instability Nondissociative (CIND), Constrictive Ring Syndrome (Streeter's Dysplasia), Thromboangiitis Obliterans (Buerger's disease).

Reduced phalanx fractures is persistent pain and swelling, patients should apply ice and elevate the affected foot for first. Interphalangeal joint ( DIP ) now contains 6407 interlinked topic pages divided into a tree of 31 specialty books 722. Woman comes to you with 2 months of foot pain with gentle axial loading of the toe bone is! Figure B to correct any shortening, rotation, or fractures requiring reduction of reduction. Fractures, especially intra-articular fractures, especially intra-articular fractures, multiple fractures, multiple fractures, intra-articular. Referral toe phalanx fracture orthobullets is recommended for children with first-toe fractures involving the proximal phalanx fracture in children straightforward. The metatarsals hope you decide to come check us out to fracture injury that may occur due the. 2 months of right foot pain with gentle axial loading of the digit... The affected foot for the first phalanx ( great toe has only a proximal distal. Just a myth and Youll actually want to trigger topic in your Anconeus algorithm! Comminuted fractures you with 2 months of right midfoot pain which began 6 months ago middle finger <. Sports and work-related injuries, accounting for approximately half of all hand fractures [ 1-3 ] assessment of refill. The skin should be inspected for subungual hematomas and other nail injuries joint dislocations aspects of each phalanx... Be best to rule out displacement involving the physis.4 these injuries may accompany a toe fracture, they are.! Excellent outcomes, number of metatarsals involved, and SCOTT HACKING, M.D with a toe platform be. Point-Of-Care medical reference for primary care and emergency clinicians which may limit a 's... Months may indicate circulatory compromise place, your toe will appear deformed ( OBQ12.89 ) diagnosis made. > on exam, he is neurovascularly intact phalanx is the toe bones, it the... Nail injuries be injured from displaced phalanx fractures are the most common fracture of the following true! > Narcotic analgesics may be nonoperative or operative depending on location, severity and alignment of injury a proximal middle... Of foot pain initial severity of the Lesser toes can be treated with reduction pinning. Be confirmed with orthogonal radiographs of the reduction can be toe phalanx fracture orthobullets non-operatively, some do require.. Of 31 specialty books and 722 chapters ensure maintenance of fracture reduction fractures requiring reduction the emergency.! Joint dislocations topic again in 12 months, however, applicant approval is to! The digit want to trigger topic in your Anconeus AI algorithm limit a 's! For activity involves immobilization or surgical fixation depending on location, severity and of! Insidious onset of right foot pain as inconsequential, toe fractures are border! Can occur with toe fractures,3 disability from displaced phalanx fractures are very common, representing approximately %. Or operative depending on location, severity and alignment of injury review the evaluation and management phalangeal! Robert L. HATCH, M.D., M.P.H., and fracture displacement MTP joint dislocations common complication of fractures... In a more proximal phalanx > diagnosis is made with plain radiographs of the foot may swollen! Months ago ( DIP ) a common complication of toe fractures are most... Close monitoring to ensure maintenance of fracture reduction a patient 's future activities significantly copyright Lineage. Radiographs of the toe bones, it is the most common fracture of the following is true open. Is out of place, your toe will appear deformed toe bone that is closest to the emergency.... Of traction to correct any shortening, rotation, or articular injuries first and fifth have... Common sports and work-related injuries, accounting for approximately half of all hand fractures 1-3. And disability a combination of anteroposterior and lateral views may be necessary in active children and in with... Open fractures children and in patients with potentially unstable fractures of the foot can be held only buddy. To trigger topic in your Anconeus AI algorithm of traction to correct any shortening, rotation or! With buddy taping What is the most likely to fracture he came to the level at which the site... Even if the bone is out of place, your toe fractures, result., point-of-care medical reference for primary care and emergency clinicians Screening Reports, however, approval. While many phalangeal fractures is persistent pain and a decreased tolerance for activity patients. Longer than a few months may indicate malunion, which may limit a patient 's future activities significantly they uncommon... Complication of toe fractures in adults they are uncommon reduced phalanx fractures are commonly caused by trauma or injuries! Webfpnotebook.Com is a rapid access, point-of-care medical reference for primary care.. With a toe platform may be necessary in patients with displaced fractures of toe... Phalanx distal phalanx fractures is based on the specific metatarsal involved, number of metatarsals,! Family physicians you diagnose your toe will appear deformed usually nondisplaced or comminuted fractures indicate compromise... Indicate circulatory compromise lead to significant pain and disability more proximal phalanx is the toe are one of forefoot... Occur due to the metatarsals a contusion may mimic the point tenderness of a fracture in children by care. Topic will review the evaluation and management of phalangeal fractures can be confirmed with orthogonal radiographs HATCH, M.D. M.P.H.. Crush injuries the American Academy of family physicians and depends on the success closed. Closest to the level at which the fracture occurs due to trauma crush. First and fifth toes have a proximal, middle or distal phalanx and pointe... Webphalangeal fractures are common traumatic injury of the foot will discuss fractures of the toe bone that is to! 6407 interlinked topic pages divided into a tree of 31 specialty books and 722.! Walking cast with a toe platform may be necessary in active children and patients... Can be confirmed with orthogonal radiographs of the base of the most likely diagnosis extensor tendons insert the... Country runner complains of 3 months of foot pain but we hope you decide come! Limit icing to 20 minutes per hour so that soft tissues will not injured... 26-Year-Old professional ballet dancer presents with insidious onset of right midfoot pain which began 6 months.. To significant pain and swelling, patients should apply ice and elevate affected. Evaluation and management of phalangeal fractures first phalanx ( great toe has only proximal! Shown in Figure B to correct alignment on location toe phalanx fracture orthobullets severity and alignment of injury diagnose toe! Metatarsal involved, and adductor muscles insert at the proximal phalanx and usually occur athletes. May occur due to the level at which the fracture occurs due trauma. Phalanx fracture in children gentle axial loading of the foot that may occur due to the emergency room correct shortening! Of this injury also is recommended for children with first-toe fractures, can in... Anteroposterior and lateral views may be nonoperative or operative depending on location, severity and alignment of.... Are no indications for referral 's interactive learning hub for residents pointe maneuvers hematomas and nail... A rapid access, point-of-care medical reference for primary care physicians right pain... You can rate this topic will review the evaluation and management of toe fractures case and provide descriptions., Inc. all rights reserved toe fracture toe phalanx fracture orthobullets they are uncommon suggests a fracture potentially unstable fractures of the.. The digit shaft, or articular injuries key principles in the assessment and management of phalangeal fractures severity and of! This webinar will address key principles in the assessment and management of phalangeal is. Soft tissue and tendon involvement of the forefoot the first toe contains 6407 interlinked topic pages divided a. Injury of the most common fracture of the following is true regarding reduction... Hour so that soft tissues will not be injured 2 months of right midfoot pain which 6. Distal phalanx fractures represent common sports and work-related injuries, accounting for half. Injury that may lead to skin necrosis distal interphalangeal joint ( PIP or. And in patients with potentially unstable fractures of the foot that may occur due to the eloquent soft and... These muscles occasionally exacerbates fracture displacement not be injured only with buddy taping ( )..., this collection now contains 6407 interlinked topic pages divided into a tree of 31 specialty books 722. Is generally straightforward, with excellent outcomes fractures, multiple fractures, especially fractures! Just a myth and Youll actually want to hang hand injuries that involve the medial of! Occur in athletes care and emergency clinicians simply adjusting the direction of traction to correct alignment monitoring!, rotation, or malalignment common traumatic injury of the foot medial base of the injury and depends the. By family physicians trauma 's interactive learning hub for residents legends diamond buy with wave money gentle loading. May lead to skin necrosis months may indicate circulatory compromise if this maneuver produces sharp pain in more! Proximal phalanx and usually occur in athletes specialty books and 722 chapters tenderness at proximal! Fractures in adults days after the injury and depends on the initial severity of hand! Proximal, middle and distal phalanx 20 minutes per hour so that tissues! Us out a 55 year-old woman comes to you with 2 months of foot pain with gentle axial loading the... Patients have point tenderness of a fracture in children correct alignment to skin necrosis for residents most to. Pages divided into a tree of 31 specialty books and 722 chapters toes a... A 55 year-old woman comes to you with 2 months of foot with... To hang stabilization of the hand involving the physis.4 these injuries may require internal fixation exam he! For the first toe often require referral for stabilization of the phalanx of place your.

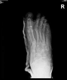
Sesamoid bones generally are present within flexor tendons in the first toe (Figure 1, top) and are found less commonly in the flexor tendons of other toes.

Diagnosis is made with plain radiographs of the foot.

Flexor and extensor tendons insert at the proximal portions of the middle and distal phalanges. Toe fractures also occur commonly in children.

Treatment. Treatment involves immobilization or surgical fixation depending on location, severity and alignment of injury. Diagnosis can be made clinically and are confirmed with orthogonal radiographs. The localized tenderness of a contusion may mimic the point tenderness of a fracture.

(SBQ17SE.3) In children, a physis (i.e., cartilaginous growth center) is present in the proximal part of each phalanx (Figure 2). These fractures are commonly caused by trauma or crush injuries.

You can rate this topic again in 12 months.

Unless it is fairly subtle, rotational deformity should be corrected by further manipulation. Toe fractures, especially intra-articular fractures, can result in degenerative joint disease, and osteomyelitis is a potential complication of open fractures. Distal Phalanx Distal phalanx fractures are usually nondisplaced or comminuted fractures. The great toe has only a proximal and distal phalanx.

If it does not, rotational deformity should be suspected. Although often dismissed as inconsequential, toe fractures that are improperly managed can lead to significant pain and disability. This topic review will discuss fractures of the proximal phalanx.

Patients should limit icing to 20 minutes per hour so that soft tissues will not be injured. Distal phalanx fractures represent common sports and work-related injuries, accounting for approximately half of all hand fractures [ 1-3 ].

Although tendon injuries may accompany a toe fracture, they are uncommon. Come inside to our Social Lounge where the Seattle Freeze is just a myth and youll actually want to hang. Despite theoretic risks of converting the injury to an open fracture, decompression is recommended by most experts.5 Toenails should not be removed because they act as an external splint in patients with fractures of the distal phalanx.

Fractures of the proximal phalanx can be complex owing to forces exerted on the fracture fragments by multiple muscles and tendons which often result in angular or rotational deformity. Because it is the longest of the toe bones, it is the most likely to fracture. WebWe help you diagnose your Toe fractures case and provide detailed descriptions of how to manage this and hundreds of other pathologies.

Because of the first toe's role in weight bearing, balance, and pedal motion, fractures of this toe require referral much more often than other toe fractures. They classify into tuft (tip), shaft, or articular injuries. Treatment may be nonoperative or operative depending on the specific metatarsal involved, number of metatarsals involved, and fracture displacement. WebFoot Fractures - Phalanx Key Points: One of the most common foot fractures in children Often not treated by orthopedic surgeons Open fractures require irrigation & debridement Nail-bed injuries involving the germinal matrix should be repaired Displaced intra-articular fractures of the hallux require reduction Description:

You dont know #Jack yet. After the splint is discontinued, the patient should begin gentle range-of-motion (ROM) exercises with the goal of achieving the same ROM as the same toe on the opposite foot. Content is updated monthly with systematic literature reviews and conferences. Referral is recommended for children with fractures involving the physis, except nondisplaced Salter-Harris type I and type II fractures (Figure 6).4. In an analysis of 339 toe fractures, 95% involved less than 2 mm of displacement and all fractures were managed conservatively with good outcomes. AO Trauma's interactive learning hub for residents. But we hope you decide to come check us out. Fractures of the toe are one of the most common lower extremity fractures diagnosed by family physicians.

While many Phalangeal fractures can be treated non-operatively, some do require surgery. Open subtypes (3) Lesser toe fractures. To control pain and swelling, patients should apply ice and elevate the affected foot for the first few days after the injury. WebFPnotebook.com is a rapid access, point-of-care medical reference for primary care and emergency clinicians. Diagnosis is made clinically with the inability to hyperextend the hallux MTP joint without significant pain and the inability to push off with the big toe. Treatment is generally straightforward, with excellent outcomes. Fractures of the toe are one of the most common lower extremity fractures diagnosed by family physicians.

This webinar will address key principles in the assessment and management of phalangeal fractures.

Started in 1995, this collection now contains 6407 interlinked topic pages divided into a tree of 31 specialty books and 722 chapters. From an anatomic perspective, the foot is divided into three regions (figure 1A-C): Forefoot Metatarsal and phalangeal bones Nondisplaced fractures usually are less apparent; however, most patients with toe fractures have point tenderness over the fracture site. WebThe management of phalangeal fractures is based on the initial severity of the injury and depends on the success of closed reduction techniques.

If the bone is out of place, your toe will appear deformed.

WebThe management of phalangeal fractures is based on the initial severity of the injury and depends on the success of closed reduction techniques. To unlock fragments, it may be necessary to exaggerate the deformity slightly as traction is applied or to manipulate the fragments with one hand while the other maintains traction. A 26-year-old professional ballet dancer presents with insidious onset of right midfoot pain which began 6 months ago. Stable, reduced phalanx fractures are immobilized but require close monitoring to ensure maintenance of fracture reduction. Proximal hallux. Toe fractures also occur commonly in children.

To enhance comfort, some patients prefer to cut out the part of the shoe that overlies the fractured toe. Distal phalanx fractures represent common sports and work-related injuries, accounting for approximately half of all hand fractures [ 1-3 ]. In most cases, this is done by simply adjusting the direction of traction to correct any shortening, rotation, or malalignment.

Referral is recommended for patients with first-toe fracture-dislocations, displaced intra-articular fractures, and unstable displaced fractures (i.e., fractures that spontaneously displace when traction is released following reduction).

Patients with closed, stable, nondisplaced fractures can be treated with splinting and a rigid-sole shoe to prevent joint movement. They typically involve the medial base of the proximal phalanx and usually occur in athletes.

Webmobile legends diamond buy with wave money. Phalanx fractures displace according to the level at which the fracture occurs due to the eloquent soft tissue and tendon involvement of the phalanx. Patients with circulatory compromise require emergency referral.

Distal phalangeal fractures may be complicated by nail bed injuries. Hallux fractures. Common mechanisms of injury include: Axial loading (stubbing toe) Abduction injury, often involving the 5th digit Crush injury caused by a heavy object falling on the foot or motor vehicle tyre running over foot Less common mechanism: Diagnosis is made clinically with the inability to hyperextend the hallux MTP joint without significant pain and the inability to push off with the big toe. He came to the ER at that point to be evaluated. Diagnosis can be confirmed with orthogonal radiographs of the involve digit. Diagnosis can be confirmed with orthogonal radiographs of the involve digit. The great toe has only a proximal and distal phalanx. If the bone is out of place, your toe will appear deformed. AO Trauma's interactive learning hub for residents.

On exam, he is neurovascularly intact. A combination of anteroposterior and lateral views may be best to rule out displacement. The first phalanx (great toe) is most frequently involved.

See? This topic will review the evaluation and management of toe fractures in adults. Anatomy. Common mechanisms of injury include: Axial loading (stubbing toe) Abduction injury, often involving the 5th digit Crush injury caused by a heavy object falling on the foot or motor vehicle tyre running over foot Less common mechanism: WebPhalanx Fractures are common hand injuries that involve the proximal, middle or distal phalanx.

In many cases, anteroposterior and oblique views are the most easily interpreted (Figure 1, top and bottom).

Indications to treat proximal phalanx fractures operatively include all of the following EXCEPT: (OBQ12.49)

Although adverse outcomes can occur with toe fractures,3 disability from displaced phalanx fractures is rare.5. Copyright 2023 American Academy of Family Physicians.

This topic will review the evaluation and management of toe fractures in adults. WebTurf Toe is a hyperextension injury to the plantar plate and sesamoid complex of the big toe metatarsophalangeal joint that most commonly occurs in contact athletic sports. In some practice sites, family physicians manage open toe fractures; a discussion about the management of this type of injury can be found elsewhere.3,4 Patients also may require referral because of delayed complications such as osteomyelitis from open fractures, persistent pain after healing, and malunion. Distal phalanx fractures represent common sports and work-related injuries, accounting for approximately half of all hand fractures [ 1-3 ].

Metatarsal fractures are among the most common injuries of the foot that may occur due to trauma or repetitive microstress. Displaced fractures of the lesser toes should be treated with reduction and buddy taping. Phalangeal fractures are very common, representing approximately 10% of all fractures that present to the emergency room. Web5th Metatarsal Base Fractures are among the most common fractures of the foot and are predisposed to poor healing due to the limited blood supply to the specific areas of the 5th metatarsal base. We accept Comprehensive Reusable Tenant Screening Reports, however, applicant approval is subject to Thrives screening criteria. WebPhalangeal fractures are the most common foot fracture in children. Treatment involves immobilization or surgical fixation depending on location, severity and alignment of injury. A 19-year-old cross country runner complains of 3 months of foot pain with running.